입냄새 심한이유 10가지 총정리
- 카테고리 없음
- 2024. 2. 2. 19:02
입냄새 심한 이유 10가지 총정리 입냄새는 사람들과 대화할 때 매우 민감한 문제입니다. 입냄새가 심하면 자신감이 떨어지고 대인관계에도 영향을 줄 수 있습니다. 그렇다면 입냄새가 심해지는 원인은 무엇일까요? 다음은 입냄새 심한 이유 10가지와 그에 따른 해결 방법을 소개합니다.
입냄새 심한 이유 10가지



입냄새가 심한것은 대인관계에서 악영향을 끼칠수도 있을 뿐만 아니라 건강의 적신호 일수도 있습니다.입냄새의 원인은 다양하지만 오늘은 대표적인 입냄새 원인 10가지에 대해서 소개해드리겠습니다.
1. 흡연


흡연은 입냄새 심한 이유 중 하나입니다. 흡연을 하면 담배 연기에 포함된 화학 물질이 입 안에 남아서 악취를 발생시킵니다. 또한 흡연은 구강 건조증을 유발하고 잇몸 질환의 위험을 증가시킵니다. 흡연을 줄이거나 금연하는 것이 좋습니다.
2. 음식물이 치아 사이에 낀다


입냄새 심한 이유 중 치아에 붙은 음식 찌꺼기가 냄새를 유발합니다. 음식물이 부패하면서 황화수소와 같은 악취성 가스를 만들어내기 때문입니다. 양치질을 꼼꼼히 하고 치실이나 치간칫솔을 사용하여 음식물을 제거하는 것이 중요합니다.
3. 구강건조증


입 안의 타액은 자연스럽게 구강을 청소하고 세균의 번식을 억제합니다. 그러나 입이 건조하면 타액의 분비량이 감소하고 세균이 증식하여 입냄새를 악화시킵니다. 충분한 수분 섭취와 저자극성의 구강 청결제 사용이 도움이 됩니다.
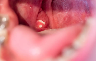
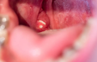
4.편도결석


편도결석이란 편도에 생기는 작은 흰색 또는 노란색의 결석입니다. 편도결석은 편도에 있는 구멍에 음식, 교감, 세균 등이 쌓여서 만들어집니다. 편도결석은 자주 발생하는 문제이며, 대부분의 경우 증상이 없거나 가벼운 증상만 있습니다. 하지만 편도결석은 입냄새의 원인이 될 수 있습니다. 편도결석에 있는 세균이 부패하면서 나쁜 냄새를 내기 때문입니다.
편도결석 제거법,원인
편도결석 제거법, 원인에 대해서 알아보겠습니다. 편도결석이란 편도선에 있는 작은 구멍에 음식물 찌꺼기와 세균이 뭉쳐서 생기는 쌀알 크기의 작은 노란 알맹이를 말합니다. 편도결석은 주로
foin.finance5.co.kr
5. 다이어트


다이어트를 하면 몸에서 케톤체라는 물질이 생성됩니다. 케톤체는 혈액으로부터 폐로 이동하면서 호흡으로 배출되는데, 이 때 입냄새의 원인이 됩니다. 균형 잡힌 식단과 운동으로 건강한 다이어트를 하는 것이 좋습니다.
6. 약 복용


일부 약물은 구강 건조증을 유발하거나 몸의 대사에 영향을 주어서 입냄새를 증가시킬 수 있습니다. 예를 들어 항암제, 항생제, 진통제, 항우울제 등이 있습니다. 약물 복용 시 의사와 상담하고 부작용에 대비하는 것이 필요합니다.
7. 이비인후과 질환


비염, 축농증, 콧속 이물, 비강내 종양 등은 코 속에 세균이 번식하고 악취를 발생시킬 수 있습니다. 이비인후과에서 진단과 치료를 받는 것이 좋습니다.
코막힘 해결방법 추천 BEST 5
코막힘 해결방법 추천 BEST 5 코막힘은 감기, 알레르기, 비염 등에 의해 콧구멍 안의 점막이 부어오르거나 점액이 가득차면서 호흡을 방해하는 증상입니다. 코막힘은 잠자리에 들기 전에 따뜻한
foin.finance5.co.kr
8. 치아 위생


치석과 충치, 잇몸 질환 등은 구강 내 세균의 증식과 염증을 유발하고, 이로 인해 악취가 발생합니다. 정기적인 치과 방문과 치료가 필요합니다.
9. 위장 질환


위염, 위궤양, 위암, 장염, 장궤양, 장암 등은 위장의 기능을 저하시키고, 이로 인해 음식물의 소화가 잘 되지 않습니다. 그 결과, 음식물이 부패하면서 악취성 가스를 만들어내고, 이 가스가 입으로 올라와서 입냄새를 유발합니다. 위장 질환의 증상이 있을 때는 소화기과에서 검사와 치료를 받아야 합니다.
위산 역류 증상 관리방법
위산 역류란 무엇일까요? 위산 역류는 위에서 위식도로 역류되는 증상을 말합니다. 위식도는 식품을 위로 이동시키는 관이며, 식도의 하부에는 식도하부 괄약근이라는 근육이 있습니다. 이 근
foin.finance5.co.kr
10. 간 질환


간염, 간경변증, 간암 등은 간의 기능을 저하시키고, 이로 인해 몸에 독소가 축적됩니다. 그 결과, 독소가 혈액으로부터 폐로 이동하면서 호흡으로 배출되는데, 이 때 입냄새의 원인이 됩니다. 간 질환의 증상이 있을 때는 간내과에서 검사와 치료를 받아야 합니다.
입냄새 제거에 좋은 음식 TOP 6



입냄새를 제거하려면, 우선 구강 위생을 철저히 관리하는 것이 중요합니다. 양치질을 꼼꼼히 하고, 치실이나 구강청정제를 사용하여 치아와 잇몸 사이의 세균을 제거해야 합니다. 또한, 혀에도 세균이 많이 살고 있으므로, 혀 닦는 용구나 칫솔로 혀를 닦아주는 것도 좋습니다.
하지만, 구강 위생만으로는 입냄새를 완전히 없앨 수 없습니다. 우리가 먹는 음식도 입냄새에 큰 영향을 미칩니다. 일부 음식은 세균의 번식을 촉진하거나, 소화 과정에서 가스를 발생시켜서 입냄새를 악화시킬 수 있습니다. 예를 들어, 마늘이나 양파, 치즈, 커피 등은 입냄새의 대표적인 원인 음식입니다.
그렇다면, 반대로 입냄새를 제거하는 데에 좋은 음식은 무엇일까요? 입냄새를 없애주는 음식은 다음과 같은 특징을 가지고 있습니다.
- 세균의 활동을 억제하거나 제거하는 성분을 함유하고 있습니다.
- 침의 분비를 촉진하여 입 안을 촉촉하게 유지합니다.
- 치아와 잇몸 사이의 음식물 찌꺼기를 제거하는 역할을 합니다.
- 상큼하고 청량한 향을 가지고 있습니다.
그럼 이제 입냄새 제거에 좋은 음식 6가지를 소개하겠습니다.
입냄새 제거방법 BEST 6
입냄새 제거방법 BEST 6 안녕하세요, 오늘은 입냄새 제거방법에 대해 알아보겠습니다. 입냄새는 우리의 건강과 자신감에 영향을 미치는 문제입니다. 입냄새의 원인은 다양하지만, 대부분은 구강
foin.finance5.co.kr
1. 파슬리


파슬리는 마늘과 같은 강한 냄새를 중화시켜주는 역할을 합니다. 파슬리에 들어 있는 클로로필 성분이 세균의 활동을 억제하고, 불쾌한 가스를 제거해줍니다. 파슬리는 요리에 장식용으로 많이 사용되지만, 식사 후에 씹어 먹으면 입냄새를 없애는 데에 효과적입니다.
2. 오이


오이는 수분 함량이 매우 높은 채소입니다. 오이를 씹으면 침샘을 자극하여 침의 분비를 증가시킵니다. 침은 입 안의 세균을 제거하고, 입 안을 촉촉하게 유지하는 역할을 합니다. 또한, 오이에 들어 있는 폴리페놀 성분이 세균의 활동을 억제하고, 입냄새를 줄여줍니다.
3. 플레인 요거트


플레인 요거트는 유산균이 풍부한 발효유 제품입니다. 유산균은 구강 내의 세균 균형을 조절하고, 냄새를 발생시키는 화합물을 감소시킵니다. 플레인 요거트는 소화도 돕고, 면역력도 높여주므로 건강에도 좋습니다. 단, 첨가물이나 설탕이 들어 있는 요거트는 피하는 것이 좋습니다.
4. 자몽


자몽은 비타민 C와 구연산이 풍부한 과일입니다. 비타민 C는 세균의 성장을 억제하고, 구연산은 침샘을 자극하여 입 안을 촉촉하게 만듭니다. 자몽은 또한 상큼하고 청량한 향을 가지고 있어서 입냄새를 가려주는 역할도 합니다. 다른 감귤류 과일도 비슷한 효과를 가지고 있습니다.
5. 해조류


해조류는 입냄새 제거에 좋은 음식 중 하나입니다. 해조류에 들어 있는 요오드 성분이 세균의 활동을 억제하고, 치아와 잇몸의 건강을 지켜줍니다. 또한, 해조류에 함유된 미네랄과 식이섬유가 치아 사이의 음식물 찌꺼기를 제거하는 역할도 합니다.
6. 껌


껌은 입냄새 제거에 가장 간단하고 편리한 방법입니다. 껌을 씹으면 침샘을 자극하여 침의 분비를 증가시키고, 입 안의 세균과 음식물 찌꺼기를 제거합니다. 또한, 껌에 들어 있는 페퍼민트나 스피어민트와 같은 향료가 입냄새를 가려주는 역할도 합니다. 단, 설탕이 들어 있는 껌은 피하고, 사탕처럼 녹여 먹지 않도록 주의해야 합니다.
이상 입냄새 제거에 좋은 음식 6가지를 알아보았습니다. 이 음식들을 식사 후에 섭취하거나, 필요할 때마다 이용하면 입냄새를 줄일 수 있습니다. 하지만, 이것만으로는 부족할 수 있으므로, 구강 위생 관리도 잊지 말아야 합니다.